• Пн-Пт: 9.00-19.00
    Сб-Нд: 9.00-18.00
  • м. Дніпро, пр. Д. Яворницького, 78

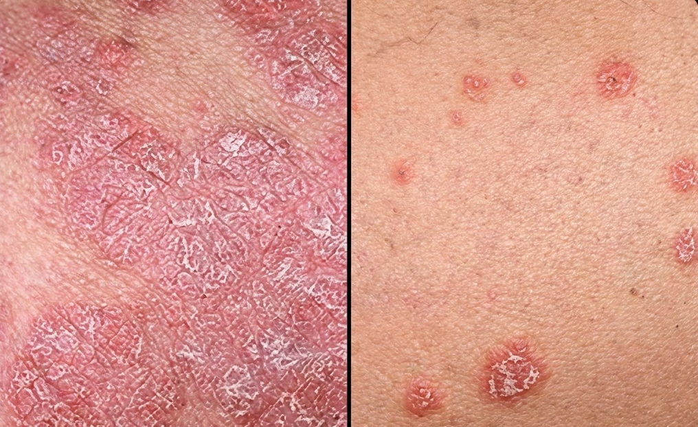
Лікування псоріазу

У нашій клініці «Дерматологія» в Дніпрі ми допомагаємо лікувати псоріаз — хронічне шкірне захворювання шкіри


Наші дерматологи проводять діагностику, визначають тип псоріазу та підбирають оптимальне лікування для зменшення запалення, свербежу й дискомфорту.

МЦ "Дерматологія" у Дніпрі пропонує експертне лікування псоріазу, спрямоване на досягнення стійкої та тривалої ремісії, а не просто зняття симптомів. Ми використовуємо точну діагностику під контролем досвідчених лікарів-дерматологів. Почніть із комплексної первинної консультації, щоб отримати точний діагноз та індивідуальний план лікування.

Лікування псоріазу в Дніпрі: досягнення стійкої ремісії в МЦ "Дерматологія"

Псоріаз — це хронічне аутоімунне захворювання, а не просто шкірний дефект. Його не можна "вилікувати" раз і назавжди, але можна і потрібно "контролювати", вводячи у стан стійкої та тривалої ремісії. Наш підхід у МЦ "Дерматологія" спрямований саме на безпечний контроль над станом, а не на агресивне придушення симптомів.

Це системний збій, при якому клітини імунної системи помилково атакують здорові клітини шкіри, провокуючи їх прискорений поділ і викликаючи запалення. Результатом цього процесу стають характерні бляшки, свербіж та лущення. Захворювання протікає циклічно, зі зміною періодів загострення та ремісії. Ключове завдання сучасної дерматології — зробити ремісію максимально довгою та безпечною для пацієнта. Спроби "заглушити" симптоми без системного підходу лише погіршують перебіг хвороби у довгостроковій перспективі.

Перший крок до чистої шкіри: точна діагностика псоріазу в Дніпрі

Ефективне лікування починається з точної діагностики, яка визначає форму, стадію та тяжкість захворювання. Ми використовуємо цифрову дерматоскопію для детального вивчення бляшок.

Цифрова дерматоскопія з багаторазовим збільшенням дозволяє лікарю побачити специфічні псоріатичні маркери (наприклад, точкові судини) і, що вкрай важливо, диференціювати псоріаз від інших шкірних захворювань, таких як екзема, себорейний дерматит або грибкові інфекції, які можуть виглядати схоже, але вимагають кардинально іншого лікування.

Порада експерта від Загурського Юрія Борисовича, лікаря дерматолога:

"Пацієнти часто приходять із готовим "діагнозом" від знайомих чи з інтернету. Але те, що виглядає як псоріаз, може ним не бути. Я наполегливо рекомендую не пропускати етап професійної дерматоскопії. Ціна помилки в діагнозі — це місяці, а то й роки неефективного та часом шкідливого лікування, яке б'є і по здоров'ю, і по гаманцю".

Сучасні протоколи лікування: наш арсенал для вашої ремісії

Ми не використовуємо один метод для всіх. Наш арсенал включає найбільш ефективні та безпечні методики доказової медицини, які комбінуються в персональний план. 

Медикаментозна підтримка: від топічної до системної терапії

Ми використовуємо сучасні протоколи, роблячи акцент на безпеці. Залежно від стадії та локалізації, це можуть бути негормональні препарати, такі як аналоги вітаміну D (регулюють поділ клітин) або інгібітори кальциневрину (знімають запалення на делікатних ділянках, наприклад, на обличчі).

Використання топічних кортикостероїдів (гормональних мазей) можливе, але воно завжди суворо контролюється лікарем, проводиться короткими курсами та за чіткими показаннями, щоб уникнути небажаних побічних ефектів. При тяжких, стійких до лікуванню формах псоріазу або при розвитку псоріатичного артриту, ми застосовуємо системну терапію, підключаючи препарати, які контролюють запалення на рівні всього організму.

Поширені помилки в лікуванні псоріазу та їх реальна ціна

Спроби самолікування або використання неперевірених методів часто призводять до погіршення хвороби та розвитку ускладнень. Дві найнебезпечніші помилки — це безконтрольне застосування гормональних мазей та ігнорування медичної природи захворювання.

Помилка 1: Безконтрольне використання "сильних" гормональних мазей

Багато пацієнтів у пошуку швидкого полегшення починають самостійно використовувати найпотужніші гормональні мазі, які їм порадили в аптеці чи знайомі. Чому так роблять? Ефект настає майже миттєво — свербіж вщухає, бляшки бліднуть. Це здається простим і швидким рішенням.

"Ціна помилки" у цьому випадку вкрай висока. Обираючи миттєве полегшення, пацієнт жертвує здоров'ям шкіри в майбутньому. Розвивається тахіфілаксія (звикання), і мазь перестає працювати. Але найстрашніше — це атрофія (витончення) шкіри та "синдром відміни": після припинення використання псоріаз повертається з новою, подвоєною силою, часто на більшій площі. Лікування такої "рикошетної" форми та відновлення атрофованої шкіри займає місяці й обходиться незрівнянно дорожче за первинний курс.

Помилка 2: Лікування "народними засобами" та ігнорування діагнозу

Інша крайність — повна недовіра до медицини та спроби лікуватися "чистками організму", сумнівними травами чи дієтами, знайденими на форумах. Чому так роблять? Це продиктовано страхом "хімії" та "гормонів", а також міфом про те, що псоріаз — це "просто шлаки".

"Ціна помилки" тут — втрачений час. Поки пацієнт п'є відвари, аутоімунне запалення продовжує розвиватися. Це загрожує не лише поширенням бляшок по тілу. Головна небезпека — розвиток псоріатичного артриту, тяжкого ускладнення, яке вражає суглоби. Цей процес часто є незворотним і без адекватної терапії швидко призводить до болю, деформації суглобів та інвалідності. Лікування артриту — це вже завдання не лише дерматолога, а й ревматолога, що вимагає серйозної системної терапії.

Порада експерта відЗагурського Юрія Борисовича, лікаря дерматолога:

"Псоріатичний артрит розвивається у 30% пацієєнтів із псоріазом, і часто він починається непомітно. Якщо ви "лікуєте" бляшки примочками, ви ігноруєте системне запалення, яке в цей момент може "поїдати" ваші суглоби. Не ризикуйте своєю рухливістю — зверніться до лікаря вчасно".

Ваш маршрут до ремісії в МЦ "Дерматологія"

Ваше лікування веде досвідчений лікар-дерматолог Загурський Юрій Борисович. Процес починається з первинної консультації та діагностики, на якій визначається ваш індивіPя. Наша мета — не просто зняти симптоми, а дати вам інструменти для довгострокового контролю над псоріазом.

Етапи вашого лікування: від консультації до контролю

Ми розробили чіткий та прозорий маршрут пацієнта, який довів свою ефективність. Процес починається з першого етапу — консультації та діагностики, що включає збір анамнезу, огляд та цифрову дерматоскопію. На другому етапі, на основі діагнозу, лікар формує ваш персональний протокол, комбінуючи методи лікування. Третій етап — це активна фаза терапії, коли ви проходите курс лікування під регулярним лікарським контролем. Четвертий, фінальний етап — це перехід у фазу підтримки, де після досягнення чистой шкіри (ремісії) лікар дає рекомендації щодо догляду та способу життя, щоб максимально подовжити цей період.

Вартість первинної консультації та діагностики

Перший і найважливіший крок до контролю над хворобою — це комплексна первинна консультація лікаря-дерматолога. Вартість консультації в МЦ "Дерматологія" становить 600 гривень. У цю суму вже включено: детальний збір анамнезу, фізикальний огляд, проведення цифрової дерматоскопії всіх необхідних ділянок, постановка точного діагнозу та розробка вашого попереднього плану лікування. Це необхідна інвестиція у ваше здоров'я та в розуміння того, як ми разом досягнемо стійкої ремісії.

 

Услуга

Стоимость (₴)

Консультация врача дерматолога

600 ₴

 

Наші лікарі

  • Лутицька Лідія Ігорівна
  • Загурський Юрій Борисович
  • Сафанков Валерій Іванович
  • Абдуллаєва Айгунь Муталлимівна
  • Бриндіков Михайло Григорович

Відгуки клієнтів

  • Kseniya _


    Хочу выразить благодарность доктору Валерию Ивановичу. После удаления процесс заживления прошёл отлично, всё заживает без проблем. Рубец очень аккуратный и почти незаметный. Спасибо за высокий профессионализм!❤️

  • Максим Забигайло


    Все супер!!!

  • Елена Коберская


    Огромная благодарность врачам и персоналу за профессионализм и внимание. Рекомендую

  • Oksana Chenska


    Зверталась до лікаря Сафанкова Валерія Івановича. Залишилась задоволена, все пояснив, заспокоїв мої хвилювання, вирішив проблему, що виникла за один візит. Рекомендую

  • Anna Gutsol


    Очень понравился приём. Всё организовано быстро и профессионально. Делала удаление родинок на веке у доктора Сафанкова Валерия Ивановича — много лет боялась, но всё прошло идеально, быстро и безболезненно. Большое спасибо врачу и клинике!

  • Алена Калинник


    Швидко, безболісно, якісний апарат. Видаляла невуси на обличчі. Лікар Михайло профессийно працює. Дуже вдячна!

  • Fishing in UA


    Выражаю благодарность врачу-дерматологу за профессионализм, внимательное отношение и эффективное лечение. Спасибо за ваш труд, заботу и человеческое отношение!

  • Анастасія Кривенко


    Сьогодні була на процедурі видалення родимок у дерматолога Сафанкова Валерія Івановича і залишилася дуже задоволена результатом. Лікар працює надзвичайно акуратно та професійно — процедура пройшла швидко і без крові. Перед видаленням робили уколи для знеболення, і віни пройшли дуже легко — майже безболісно. Під час прийому Валерій Іванович детально все пояснив, відповів на всі запитання, підібрав правильний догляд після процедури, розповів, скільки днів не можна мочити оброблені ділянки, коли знімати пластирі та як правильно доглядати за шкірою надалі. Окремо лікар пояснив, чому в моєму випадку не було потреби робити гістологію: родимки мали всі ознаки доброякісних утворень і не несли жодної небезпеки. Це додало впевненості та повного спокою. Відчувається уважне, відповідальне й дуже людяне ставлення до пацієнта. Щиро рекомендую Сафанкова Валерія Івановича як компетентного та делікатного лікаря-дерматолога.

  • Elena Beliba


    Дуже вдячназа швидкісь ,увагу ,прмюиєне відношення і головне професійність лікаря Абдуллаєвох А.М. Щіро дякую всьму персоналу !

  • Натали _


    Не перший раз звертаюсь до клініки «Дерматологія+». Була у лікаря Сафанкова Валерія Івановича, дуже компетентний, досвідчений, професіонал свого діла. Була на процедурі IPL-фототерапія, лікування судин, терапія розацеа, куперозу. Лікар чітко пояснював всі дії та процес лікування. Дякую за працю та гарне відношення !

Запишіться на прийом до наших лікарів

Ваше ім’я
Номер телефону